The current diagnosis of mpm relies on pleural biopsies an invasive method that is often associated with errors revealing the need for noninvasive biomarkers that can aid in the diagnosis of the disease. Further research is necessary to establish the diagnostic and prognosis value of fibulin 3.
Fibulin 3 As A Blood And Effusion Biomarker For Pleural Mesothelioma Nejm
Fibulin 3 is a protein biomarker found in pleural fluid and blood which seems to reliably determine the presence or absence of mesothelioma cancer cell.
Fibulin 3 mesothelioma. Fibulin 3 fbln3 was recently presented as a promising novel biomarker for malignant pleural mesothelioma mpm warranting independent validation studies. Fibulin 3 is an extracellular glycoprotein normally expressed in low quantities and is inversely related to cell growth. Plasma fibulin 3 levels discriminated between stage i or ii mesothelioma and asbestos exposure without mesothelioma at a specificity of 94 and a sensitivity of 100 and the similarity of plasma fibulin 3 levels in early and late stage disease suggests that fibulin 3 may be associated with early events in mesothelial transformation.
In an overall comparison of patients with and those without mesothelioma the receiver operating characteristic curve for plasma fibulin 3 levels had a sensitivity of 967 and a specificity of 955 at a cutoff value of 528 ng of fibulin 3 per milliliter. Elisa was used to measure cellular and. A systematic review and meta analysis was published in the journal oncotarget.
The study diagnostic value of fibulin 3 for malignant pleural mesothelioma. The search to uncover easier and earlier ways to diagnose mesothelioma took a step in the right direction with the latest findings from the laboratory of new york university langone medical center and renowned thoracic oncologist harvey pass md. Researchers there have found that fibulin 3 a new protein biomarker found in blood can reliably predict the presence or absence of mesothelioma.
Fibulin 3 is a new potential biomarker for malignant mesothelioma mm. Plasma fibulin 3 levels discriminated between stage i or ii mesothelioma and asbestos exposure without mesothelioma at a specificity of 94 and a sensitivity of 100 and the similarity of plasma. Fibulin 3 preferentially stained tumor cells in 26 of 26 samples.
However this study did not address the question as to why fibulin 3 levels are elevated in mesothelioma the mechanism by virtue of which it is increased or whether blocking it improves prognosis. This study evaluated the potential applicability of fibulin 3 plasma levels as a biomarker of response to treatment and its prognostic value for progressive disease within 18 months.
Validity Of Fibulin 3 In Detecting Mesothelioma Lesions Regarding Download Table
Fibulin 3 As A Blood And Effusion Biomarker For Pleural Mesothelioma Nejm
Downregulation Of Fibulin 3 In Lung Cancer A Rt Pcr Analysis Of Download Scientific Diagram
Plasma Fibulin 3 As A Potential Biomarker For Patients With Asbestos Related Diseases In The Han Population
Mesothelin Still Beats Fibulin 3 As Mesothelioma Biomarker
Fibulin 3 As A Blood And Effusion Biomarker For Pleural Mesothelioma Nejm
Fibulin 3 Levels In Malignant Pleural Mesothelioma Are Associated With Prognosis But Not Diagnosis British Journal Of Cancer
A Brief Introduction Of Fibulin 3 As A Blood And Effusion Biomarker For Pleural Mesothelioma Cloud Clone Corp Ccc
A Brief Introduction Of Fibulin 3 As A Blood And Effusion Biomarker For Pleural Mesothelioma Cloud Clone Corp Ccc
Fibulin 3 Is A Marker Of Notch Activation In Human Gliomas A And B Download Scientific Diagram
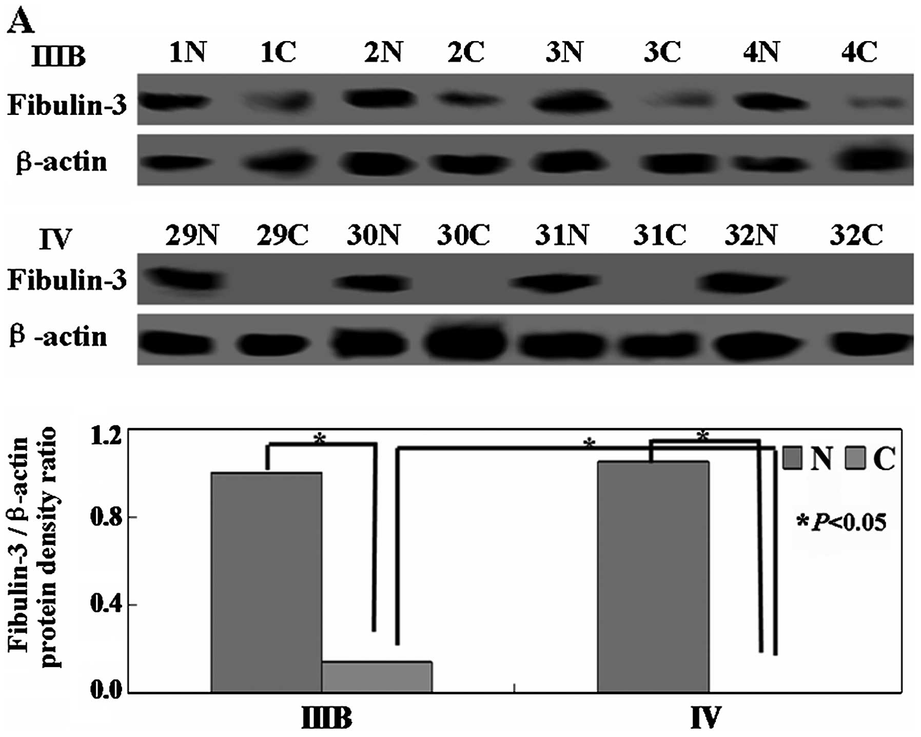
Role Of Fibulin 3 In Lung Cancer In Vivo And In Vitro Analyses
Comparison Of Fibulin 3 And Mesothelin As Markers In Malignant Mesothelioma Thorax
Development Of A Function Blocking Antibody Against Fibulin 3 As A Targeted Reagent For Glioblastoma Clinical Cancer Research
Fibulin 3 Levels Ng Ml Before Treatment At Different Download Table
Fibulin 3 As A Blood And Effusion Biomarker For Pleural Mesothelioma Nejm
Pdf Fibulin 3 Levels In Malignant Pleural Mesothelioma Are Associated With Prognosis But Not Diagnosis
Comparison Of Fibulin 3 And Mesothelin As Markers In Malignant Mesothelioma Topic Of Research Paper In Clinical Medicine Download Scholarly Article Pdf And Read For Free On Cyberleninka Open Science Hub
Comparison Of Fibulin 3 And Mesothelin As Markers In Malignant Mesothelioma Thorax
Ykl 40 And Mesothelin In The Blood Of Patients With Malignant Mesothelioma Lung Cancer And Asbestosis
Role Of Fibulin 3 In Lung Cancer In Vivo And In Vitro Analyses
Validity Of Fibulin 3 In Detecting Mesothelioma Lesions Regarding Download Table
Plasma Fibulin 3 As A Potential Biomarker For Patients With Asbestos Related Diseases In The Han Population
Comparison Of The Diagnostic Performance Of Fibulin 3 And Mesothelin In Patients With Pleural Effusions From Malignant Mesothelioma
Comparison Of Fibulin 3 And Mesothelin As Markers In Malignant Mesothelioma Thorax
Pdf Fibulin 3 Levels In Malignant Pleural Mesothelioma Are Associated With Prognosis But Not Diagnosis Semantic Scholar
Ijms Free Full Text Extracellular Interactions Between Fibulins And Transforming Growth Factor Tgf B In Physiological And Pathological Conditions Html
Value Of Plasma And Pleural Effusion Fibulin 3 Levels In The Diagnosis Of Malignant Pleural Mesothelioma Effusions Sciencedirect
Plasma Fibulin 3 As A Potential Biomarker For Patients With Asbestos Related Diseases In The Han Population
Hmgb1 And Its Hyperacetylated Isoform Are Sensitive And Specific Serum Biomarkers To Detect Asbestos Exposure And To Identify Mesothelioma Patients Clinical Cancer Research
Role Of Fibulin 3 In The Diagnosis Of Malignant Mesothelioma Topic Of Research Paper In Clinical Medicine Download Scholarly Article Pdf And Read For Free On Cyberleninka Open Science Hub
Malignant Pleural Mesothelioma Oncohema Key
Fluoro Edenite Induces Fibulin 3 Overexpression In Non Malignant Human Mesothelial Cells
Fibulin 3 Inhibited B Catenin Nuclear Translocation And Expression Of Download Scientific Diagram
Fibulin 3 Levels In Malignant Pleural Mesothelioma Are Associated With Prognosis But Not Diagnosis British Journal Of Cancer
Frontiers New Perspectives On Diagnosis And Therapy Of Malignant Pleural Mesothelioma Oncology
Decrease Of Fibulin 3 In Hepatocellular Carcinoma Indicates Poor Prognosis
Frontiers Liquid Biopsy In Malignant Pleural Mesothelioma State Of The Art Pitfalls And Perspectives Oncology
Fibulin 3 As A Blood And Effusion Biomarker For Pleural Mesothelioma Nejm
Fibulin 3 Levels In Malignant Pleural Mesothelioma Are Associated With Prognosis But Not Diagnosis British Journal Of Cancer
Fibulin 3 Biomarker Becomes Latest Breakthrough For Mesothelioma
Malignant Mesothelioma May Be Diagnosed Using Fibulin 3 As Biomarker
Role Of Fibulin 3 In The Diagnosis Of Malignant Mesothelioma Sciencedirect
Decrease Of Fibulin 3 In Hepatocellular Carcinoma Indicates Poor Prognosis
Plasma And Effusion Fibulin 3 Levels In All Studied Patients Download Table
Pdf Comparison Of Fibulin 3 And Mesothelin As Markers In Malignant Mesothelioma Anna Nowak Jenette Creaney And Tarek Meniawy Academia Edu
The Matrix Protein Fibulin 3 Promotes Kiss1r Induced Triple Negative Breast Cancer Cell Invasion Abstract Europe Pmc
Hmgb1 And Its Hyperacetylated Isoform Are Sensitive And Specific Serum Biomarkers To Detect Asbestos Exposure And To Identify Mesothelioma Patients Clinical Cancer Research
Cancers Free Full Text Malignant Pleural Mesothelioma Genetic And Microenviromental Heterogeneity As An Unexpected Reading Frame And Therapeutic Challenge Html
Malignant Mesothelioma Time To Translate Trends In Cancer
Fibulin 3 As Biomarker Of Malignant Mesothelioma Biomarkers In Medicine
Frontiers Liquid Biopsy In Malignant Pleural Mesothelioma State Of The Art Pitfalls And Perspectives Oncology
Mesothelioma Diagnosis Diagnostic Tests Early Detection Process
Role Of Fibulin 3 In The Diagnosis Of Malignant Mesothelioma Sciencedirect
The Matrix Protein Fibulin 3 Promotes Kiss1r Induced Triple Negative Breast Cancer Cell Invasion Abstract Europe Pmc
Fibulin 3 As A Mesothelioma Marker Latest Research Jpms Medical Blogs
Anti Efemp1 Antibody Mouse Anti Human Fibulin 3 Efemp1 Monoclonal Antibody Clone 1d9 Np 004096 2
Mesothelioma Multidisciplinary Treatment Update
Role Of Fibulin 3 In Lung Cancer In Vivo And In Vitro Analyses
Malignant Pleural Mesothelioma An Update On Investigation Diagnosis And Treatment European Respiratory Society
Https Content Sciendo Com Downloadpdf Journals Raon 49 3 Article P279 Xml
Recommendations For The Diagnosis And Management Of Asbestos Related Pleural And Pulmonary Disease Archivos De Bronconeumologia English Edition
What Is Mesothelioma Treatment And When To Seek A Mesothelioma Diagnosis
Pdf Plasma Fibulin 3 As A Potential Biomarker For Patients With Asbestos Related Diseases In The Han Population Semantic Scholar
Gale Academic Onefile Document Plasma Fibulin 3 As A Potential Biomarker For Patients With Asbestos Related Diseases In The Han Population
Survival Of Malignant Mesothelioma Patients Segregated On A Pleural Download Scientific Diagram
Ppt Prof Dr Metin Ozkan Powerpoint Presentation Free Download Id 4447563
Lox Family And Zfpm2 As Novel Diagnostic Biomarkers For Malignant Pleural Mesothelioma Springerlink
Malignant Pleural Mesothelioma An Update On Investigation Diagnosis And Treatment European Respiratory Society
Decrease Of Fibulin 3 In Hepatocellular Carcinoma Indicates Poor Prognosis
Diaphragm Diagnostic And Prognostic Biomarkers In The Rational Assessment Of Mesothelioma Pdf Free Download
Efemp1 Elisa Kit Human Fibulin 3 Elisa Kit Np 001034437 1
Mesothelioma Biomarkers What Are They How Can They Help
The Matrix Protein Fibulin 3 Promotes Kiss1r Induced Triple Negative Breast Cancer Cell Invasion Abstract Europe Pmc
Gale Academic Onefile Document Plasma Fibulin 3 As A Potential Biomarker For Patients With Asbestos Related Diseases In The Han Population
Plasma Fibulin 3 As A Potential Biomarker For Patients With Asbestos Related Diseases In The Han Population
Pleural Fluid Biomarkers Clinics In Chest Medicine
Mesothelioma Help Mesothelioma Diagnosis Biomarker Blood Test
Mesothelioma Medical Definition Meme Text
Fibulin 3 Biomarker Becomes Latest Breakthrough For Mesothelioma
Role Of Fibulin 3 In Lung Cancer In Vivo And In Vitro Analyses
Http Ar Iiarjournals Org Content 37 3 1387 Full Pdf
Midkine Is A Potential Novel Marker For Malignant Mesothelioma With Different Prognostic And Diagnostic Values From Mesothelin Bmc Cancer Full Text
Https Www Inoncology Com Sites Default Files Downloads Mpm Backgrounder 0 Pdf
Prognostication And Monitoring Of Mesothelioma Using Biomarkers A Systematic Review British Journal Of Cancer
Malignant Mesothelioma May Be Diagnosed Using Fibulin 3 As Biomarker
The Matrix Protein Fibulin 3 Promotes Kiss1r Induced Triple Negative Breast Cancer Cell Invasion Abstract Europe Pmc
Analysis Of Fibulin 3 After Exposure To Asbestos Like Fibers Semantic Scholar
Http Ibasecretariat Org Hoc Jul3 2013 Pres Dan Sterman Pdf
Ers Ests Eacts Estro Guidelines For The Management Of Malignant Pleural Mesothelioma European Respiratory Society
Diagnosing Mesothelioma Scans Blood Tests And Biopsies
Malignant Mesothelioma Thoracic Key
Overexpressed Genes In Malignant Pleural Mesothelioma Implications In Clinical Management Barone Journal Of Thoracic Disease
Biomolecules Free Full Text Multiplex Soluble Biomarker Analysis From Pleural Effusion Html

0 komentar:
Posting Komentar