The epithelial cell type is identified by the clumping of cells and a square or cubic appearance. Sarcomatoid mesothelioma cells have a histological makeup that resembles sarcoma type cancers.
Epithelioid Mesothelioma Treatment Prognosis Diagnosis
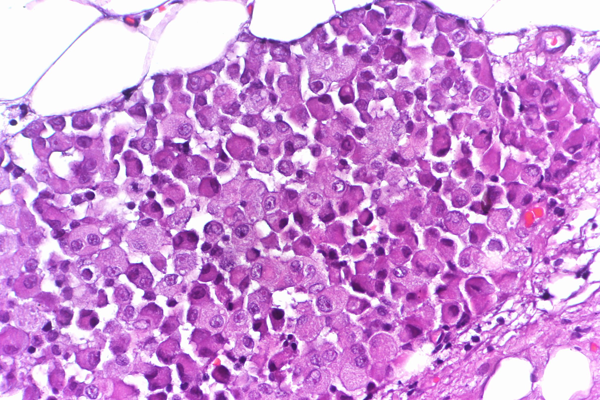
Epithelioid mesothelioma is caused by asbestos and is the most common type of the disease.
Epithelioid mesothelioma histology. Keratin 5 6. Expressed in epithelioid mesothelioma but negative in sarcomatoid mesothelioma podoplanin d2 40. Membranous and apical staining.
This process is part of mesothelioma pathology which involves examining either tissue or fluid to determine if this cancer exists in the body. Treatment and prognosis are affected by a patients. Histologically epithelial mesothelioma cells have polygonal ovoid or cuboidal cell shape.
Histology biphasic and sarcomatoid lymph node metastasis treatment without chemotherapy lymph node dissection. This form of mesothelioma is comprised of cells which resemble the normal mesothelial cells in that they are arranged in a trabecular fashion. Mutations in mesothelial cells caused by asbestos exposure create these variations.
Epithelial mesothelioma cells can develop in the lining of the lungs abdomen or heart. May be expressed in squamous cell carcinoma of lung and serous carcinoma synovial sarcoma and angiosarcoma. Mesothelioma histology or mesothelioma histopathology is the study of tissue for the presence of mesothelioma.
Independently associated with worse overall survival proposed nuclear grading of epithelioid malignant pleural mesothelioma. Epithelioid mesothelioma is the most common mesothelioma cell type accounting for 50 to 70 of cases. However sarcomatoid mesothelioma like epithelioid mesothelioma is caused by genetically mutated mesothelial cells.
The occasional presence of signet ring cells may make it challenging to distinguish this disease from cancers of the lung. The three major mesothelioma cell types are epithelioid sarcomatoid and biphasic. Mesothelioma pathology focuses on understanding how mesothelial cells form spread and interact in the body.
Specialists use it as a marker to distinguish epithelioid mesothelioma from lung adenocarcinoma. It has also been found useful in distinguishing epithelioid mesothelioma and squamous cell carcinoma. D2 40 is a glycoprotein that shows an increased presence in many cancers including epithelioid mesothelioma.
Asbestos exposure can mutate epithelial cells which then become cancerous. Some epithelial cells will transform into a different type of cell which become sarcomas when cancerous. The epithelial mesothelioma cell type makes up more than 50 of all cases.
Pathologists study normal and diseased tissue to make an accurate diagnosissince mesothelioma is often mistaken for other diseases and cancers these cellular studies are vital in properly detecting mesothelioma before it becomes more advanced. With treatment patients have an average life expectancy of one to two years. Epithelioid mesothelioma sarcomatoid mesothelioma 58 92 92 67.
Pathology Outlines Mesothelioma Epithelioid
Pathology Outlines Mesothelioma Epithelioid
Malignant Mesothelioma Libre Pathology
Pathology Outlines Mesothelioma Epithelioid
Pathology Outlines Mesothelioma Epithelioid
Sarcomatoid Mesothelioma Get Treatment And Financial Help
Mesothelioma Histology A Study Of Mesothelioma Cells
Nuclear Grade And Necrosis Predict Prognosis In Malignant Epithelioid Pleural Mesothelioma A Multi Institutional Study Modern Pathology
Webpathology Com A Collection Of Surgical Pathology Images
Pathology Outlines Mesothelioma Epithelioid
Mesothelioma Histology A Study Of Mesothelioma Cells
Webpathology Com A Collection Of Surgical Pathology Images
Pathology Outlines Peritoneal Malignant Mesothelioma
Sarcomatoid Mesothelioma Prognosis Treatment Diagnosis
Sarcomatoid Mesothelioma A Clinical Pathologic Correlation Of 326 Cases Modern Pathology
Webpathology Com A Collection Of Surgical Pathology Images
Biotecnol Immunotherapies For Life
Pathology Outlines Mesothelioma Epithelioid
Pathology Of Mesothelioma Springerlink
Fig S2 Pathology Of Peritoneal Mesothelioma Microphotographs Of Download Scientific Diagram
Pathology Of Mesothelioma Microscopic Features Dr Sampurna Roy Md
Pathology Of Mesothelioma Microscopic Features Dr Sampurna Roy Md
Malignant Mesothelioma Mm American Urological Association
Https Encrypted Tbn0 Gstatic Com Images Q Tbn 3aand9gcqeiy6h7ynq0bzuozuqljobr7k9gt0qrqzuqzhy7qweho6z2ryw Usqp Cau
Challenges And Controversies In The Diagnosis Of Malignant Mesothelioma Part 2 Malignant Mesothelioma Subtypes Pleural Synovial Sarcoma Molecular And Prognostic Aspects Of Mesothelioma Bap1 Aquaporin 1 And Microrna Journal Of Clinical Pathology
Pathology Outlines Mesothelioma Epithelioid
Webpathology Com A Collection Of Surgical Pathology Images
Sarcomatoid Mesothelioma A Clinical Pathologic Correlation Of 326 Cases Modern Pathology
Https Www Jto Org Article S1556 0864 15 00053 2 Pdf
Https Www Researchgate Net Profile Richard Attanoos Publication 318287816 Guidelines For Pathologic Diagnosis Of Malignant Mesothelioma 2017 Update Of The Consensus Statement From The International Mesothelioma Interest Group Links 5adb02ca458515c60f5cd158 Guidelines For Pathologic Diagnosis Of Malignant Mesothelioma 2017 Update Of The Consensus Statement From The International Mesothelioma Interest Group Pdf
Webpathology Com A Collection Of Surgical Pathology Images
Pathology Outlines Mesothelioma Epithelioid
Sarcomatoid Mesothelioma Pathology Outlines Aruildi23
Histopathology Images Of Malignant Mesothelioma By Pathpedia Com Pathology E Atlas
2016 Evening Specialty Conference Gynecologic Pathology
Webpathology Com A Collection Of Surgical Pathology Images
Primary Peritoneal Epithelioid Mesothelioma Of Clear Cell Type With A Novel Vhl Gene Mutation A Case Report Sciencedirect
Challenges And Controversies In The Diagnosis Of Malignant Mesothelioma Part 2 Malignant Mesothelioma Subtypes Pleural Synovial Sarcoma Molecular And Prognostic Aspects Of Mesothelioma Bap1 Aquaporin 1 And Microrna Journal Of Clinical Pathology
Pathology Spotlight Pleural Mesothelioma The Anatomy Lab
Malignant Pleural Mesothelioma Presenting With Cardiac Tamponade A Rare Case Report And Review Of The Literature
Https Www Jto Org Article S1556 0864 19 33232 0 Pdf
Histologic Features Of Small Biopsy Samples Of Mesothelioma Tumor Download Scientific Diagram
Http Cpo Media Net Ecp 2019 Congress Presentations 1160 Unlicensed Ecp 20new 20insights 20in 20the 20diagnosis 20of 20mesothelioma V2 Pdf
Corus13 On Twitter Epithelioid Mesothelioma Pathology Pulmpath
Malignant Mesothelioma Mm American Urological Association
Sarcomatoid Malignant Mesothelioma Thoracic Pathology A Volume In The High Yield Pathology Series Expert Consult Online And Print 1st Edition
Pleomorphic Mesothelioma Report Of 10 Cases Modern Pathology
Utility Of Survivin Bap1 And Ki 67 Immunohistochemistry In Distinguishing Epithelioid Mesothelioma From Reactive Mesothelial Hyperplasia
Sarcomatoid Mesothelioma Pathology Outlines
Primary Intrahepatic Malignant Mesothelioma With Multiple Lymphadenopathies Due To Non Tuberculous Mycobacteria A Case Report And Review Of The Literature
All Sizes Qiao S Pathology Pleural Malignant Mesothelioma Epithelioid Type Flickr Photo Sharing
The Pathological And Molecular Diagnosis Of Malignant Pleural Mesothelioma A Literature Review Ali Journal Of Thoracic Disease
Pathology Outlines Mesothelioma Epithelioid
Malignant Mesothelioma Mm American Urological Association
Histopathology Of Sarcomatoid Dmm Panels A And B One Of The More Download Scientific Diagram
Epithelioid Mesothelioma Treatment Symptoms Prognosis
Sarcomatoid Mesothelioma Lawyers Specialized In Asbestos Law And Compensation
Epithelioid Mesothelioma Epithelial Cell Prognosis Treatment
Epithelioid Mesothelioma Immunohistochemistry
Utility Of Survivin Bap1 And Ki 67 Immunohistochemistry In Distinguishing Epithelioid Mesothelioma From Reactive Mesothelial Hyperplasia
Webpathology Com A Collection Of Surgical Pathology Images
Malignant Pleural Mesothelioma Clinical Gate
Epithelioid Mesothelioma Epithelial Treatment And Financial Help
Questioning The Prognostic Role Of Bap 1 Immunohistochemistry In Malignant Pleural Mesothelioma A Single Center Experience With Systematic Review And Meta Analysis Lung Cancer
Journal Of Pathology And Translational Medicine
Figure 3 From Pathology Of Mesothelioma Semantic Scholar
Epithelioid Mesothelioma The Most Treatable Mesothelioma
Pathology Outlines Peritoneal Malignant Mesothelioma
Malignant Peritoneal Mesothelioma A Diagnostic And Therapeutic Challenge A Case Report
2016 Evening Specialty Conference Gynecologic Pathology
Https Encrypted Tbn0 Gstatic Com Images Q Tbn 3aand9gctal1bdiy7 Y4ci5wh5kizpbmtfzg6uvwuckc9tim3ztstokm8k Usqp Cau
Introductory Chapter Pathology Of The Pleura Intechopen
Pleura Revisited From Histology And Pathophysiology To Pathology And Molecular Biology Karpathiou 2019 The Clinical Respiratory Journal Wiley Online Library
Personalized Oncogenomics Clinical Experience With Malignant Peritoneal Mesothelioma Using Whole Genome Sequencing
Primary Peritoneal Epithelioid Mesothelioma Image Radiopaedia Org
Https Www Researchgate Net Profile Cesar Moran Publication 23318751 Histologic Assessment And Prognostic Factors Of Malignant Pleural Mesothelioma Treated With Extrapleural Pneumonectomy Links 0912f50fd8e55595dc000000 Histologic Assessment And Prognostic Factors Of Malignant Pleural Mesothelioma Treated With Extrapleural Pneumonectomy Pdf
Application Of Immunohistochemistry In Diagnosis And Management Of Malignant Mesothelioma Chapel Translational Lung Cancer Research
Histopathology Images Of Malignant Mesothelioma By Pathpedia Com Pathology E Atlas
Epithelioid Malignant Mesothelioma Thoracic Pathology A Volume In The High Yield Pathology Series Expert Consult Online And Print 1st Edition
Malignant Peritoneal Mesothelioma In Patients With Endometriosis Journal Of Clinical Pathology
P16 Loss And Mitotic Activity Predict Poor Survival In Patients With Peritoneal Malignant Mesothelioma Clinical Cancer Research
Figure 2 From Reproducibility Of Histological Subtyping Of Malignant Pleural Mesothelioma Semantic Scholar
My Approach To The Diagnosis Of Mesothelial Lesions Abstract Europe Pmc
Pleomorphic Epithelioid Diffuse Malignant Pleural Mesothelioma A Clinicopathological Review And Conceptual Proposal To Reclassify As Biphasic Or Sarcomatoid Mesothelioma Sciencedirect
Malignant And Borderline Mesothelial Tumors Of The Pleura Thoracic Key
Webpathology Com A Collection Of Surgical Pathology Images
My Approach To The Diagnosis Of Mesothelial Lesions Abstract Europe Pmc
Malignant Mesothelioma And Other Mesothelial Proliferations Chapter 28 Modern Soft Tissue Pathology
2016 Evening Specialty Conference Dermatopathology
Malignant Peritoneal Mesothelioma In A Patient With Intestinal Fistula Incisional Hernia And Abdominal Infection A Case Report
Biological And Clinical Aspects Of Malignant Pleural Mesothelioma Past Present And Future Treatment Strategies Colaut Journal Of Respiratory Research
Malignant Mesothelioma Of The Pleura With Desmoplastic Histology A Case Series And Literature Review Bmc Cancer Full Text
Problems In Mesothelioma Diagnosis Addis 2009 Histopathology Wiley Online Library
Pathology Of Mesothelioma Microscopic Features Dr Sampurna Roy Md
Https Encrypted Tbn0 Gstatic Com Images Q Tbn 3aand9gcsmbbiaydwoksjg3i6aqmhb8eu7 Wuquidxjd63dkvjt9nv5jgr Usqp Cau
Pathology Of Mesothelioma Springerlink
Epithelioid Mesothelioma Epithelial Cell Prognosis Treatment
Application Of Immunohistochemistry In Diagnosis And Management Of Malignant Mesothelioma Chapel Translational Lung Cancer Research
Malignant Mesothelioma And Other Mesothelial Proliferations Chapter 28 Modern Soft Tissue Pathology


0 komentar:
Posting Komentar